
Many parents wait for their dentist to tell them when to see an orthodontist. However, dentists focus primarily on your oral health and are quite busy. While they will notice certain things, they may not have the time or did not have the need to take the types of x-rays that orthodontists use for their assessments. In addition, orthodontist complete an extra 2-3 years full time of residency to specialize in orthodontics and devote their entire practice to it. In this way, orthodontists are experts in tooth eruption and the best timing and methods to begin treatment.
For this reason, the American Association of Orthodontists recommend children have an initial orthodontic consultation at age 7.
By around age 7, children typically have a mix of baby teeth and permanent teeth. This stage—known as the “mixed dentition” period—gives orthodontists a unique opportunity to spot developing issues such as:
1. Crowding or spacing problems
2. Bite misalignments (overbite, underbite, crossbite)
3. Jaw growth irregularities
4. Eruption problems with permanent teeth
Early identification allows the orthodontist to determine whether your child would benefit from early interceptive treatment or if simple monitoring is all that’s needed.


1. Timely treatment, only when necessary
Most children won’t need braces at 7, but early evaluation ensures no critical developmental window is missed.
2. Prevention of more serious issues
Intervening early can guide jaw growth, reduce the need for later extractions, and help permanent teeth come in correctly.
3. Better long-term outcomes
A well-timed early plan can shorten later treatment, improve facial balance, and support healthier oral development.
Scheduling an orthodontic visit by age 7 gives your child the best chance for a healthy and aligned smile. An early orthodontic evaluation—quick, comfortable, and informative—helps ensure that any developing issues are caught at the right time.
The reality is, we don't know! Some children, in retrospect, don't end up needing anything before all their teeth come in, and they would have been just fine waiting until age 12 or so when all permanent teeth (on average) tend to erupt.However, some children have issues that either can't be fixed at all once they are older, or the problems are then much more severe or the results will be compromised.
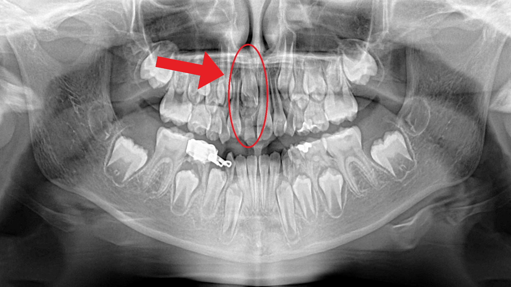
Here is an example of a child that was alerted to some strange tooth eruption, but the problem was already quite severe. Had the child been referred earlier, the problem could have been much less severe
.png)
Case 1
In the first photo her upper permanent canine teeth were growing in the wrong direction at first. After we removed her upper baby canine teeth, the adult teeth corrected themselves and started coming in normally as shown in the second photo.
This early intervention saved the patient from having impacted canines. That means her treatment time was shorter by at least 12 months, avoided surgery on both of her upper canine teeth, and made the overall treatment process more comfortable.


Case 2
This patient came in because one of her front baby teeth had not fallen out. A panoramic X-ray showed that her permanent front tooth was impacted and stuck high in the jaw shown in the first photo.
While removal was initially recommended, we pursued a more conservative option. By attaching a small orthodontic device, we were able to gently guide the tooth into its proper position. This approach saved her natural front tooth and avoided the need for an implant—something that can never truly replace a natural smile.
.png)

Case 3
This case includes a panoramic X-ray and two segments of a CBCT (cone beam x-ray) images that highlight the importance of early screening. This patient’s permanent lower canine was unable to erupt because extra teeth were blocking its path. By identifying the problem early and removing the extra baby teeth, we were able to clear the way for the permanent tooth to come in naturally—preventing more complex treatment later.

