
Muchos padres esperan que su dentista les diga cuándo acudir al ortodoncista.. Sin embargo, los dentistas se centran principalmente en su salud bucal y están bastante ocupados.. Si bien notarán ciertas cosas, es posible que no hayan tenido el tiempo o no hayan tenido la necesidad de tomar los tipos de radiografías que los ortodoncistas utilizan para sus evaluaciones.. Además, el ortodoncista completa 2 o 3 años adicionales de residencia para especializarse en ortodoncia y dedicar toda su práctica a ello.. De esta manera, los ortodoncistas son expertos en la erupción de los dientes y en el mejor momento y método para iniciar el tratamient
Por este motivo, la Asociación Americana de Ortodoncistas recomienda que los niños tengan un . consulta inicial de ortodoncia a los 7 años.
Alrededor de los 7 años, los niños suelen tener una mezcla de dientes de leche y dientes permanentes. Esta etapa —conocida como el período de “dentición mixta”— ofrece a los ortodoncistas una oportunidad única para detectar problemas en desarrollo, tales como:
1. Problemas de apiñamiento o espacio
2. Desalineaciones de la mordida (sobremordida, submordida, mordida cruzada)
3. Irregularidades en el crecimiento de la mandíbula
4. Problemas de erupción de los dientes permanentes
La identificación temprana permite al ortodoncista determinar si su hijo se beneficiaría de un tratamiento interceptivo temprano o si solo se necesita un seguimiento periódico.


1. Tratamiento oportuno, solo cuando es necesario
La mayoría de los niños no necesitarán brackets a los 7 años, pero una evaluación temprana garantiza que no se pierda ninguna ventana crítica de desarrollo.
2. Prevención de problemas más serios
Intervenir temprano puede guiar el crecimiento de la mandíbula, reducir la necesidad de extracciones en el futuro y ayudar a que los dientes permanentes erupcionen correctamente.
3. Mejores resultados a largo plazo
Un plan temprano y bien programado puede acortar tratamientos posteriores, mejorar el equilibrio facial y favorecer un desarrollo bucal más saludable.
Programar una visita al ortodoncista alrededor de los 7 años le brinda a su hijo la mejor oportunidad de tener una sonrisa saludable y bien alineada. Una evaluación ortodóncica temprana—rápida, cómoda e informativa—ayuda a garantizar que cualquier problema en desarrollo se detecte en el momento adecuado.
La realidad es que no lo sabemos con certeza. En retrospectiva, algunos niños no terminan necesitando ningún tratamiento antes de que erupcionen todos sus dientes, y habrían estado bien esperando hasta alrededor de los 12 años, cuando en promedio ya han salido todos los dientes permanentes. Sin embargo, otros niños presentan problemas que, una vez que son mayores, ya no pueden corregirse, o se vuelven mucho más severos, o bien los resultados del tratamiento pueden verse comprometidos.
Aquí hay un ejemplo de un niño al que se le alertó sobre una erupción dental extraña, pero el problema ya era bastante grave.. Si el niño hubiera sido remitido antes, el problema podría haber sido mucho menos grave.
.png)
Caso 1
En la primera foto, sus colmillos permanentes superiores estaban creciendo en la dirección equivocada. Después de extraer los colmillos de leche superiores, los dientes permanentes se corrigieron por sí solos y comenzaron a erupcionar normalmente, como se muestra en la segunda foto.
Esta intervención temprana evitó que la paciente desarrollara caninos impactados. Esto significa que su tiempo de tratamiento fue al menos 12 meses más corto, evitó la cirugía en ambos colmillos superiores y hizo que todo el proceso de tratamiento fuera mucho más cómodo.


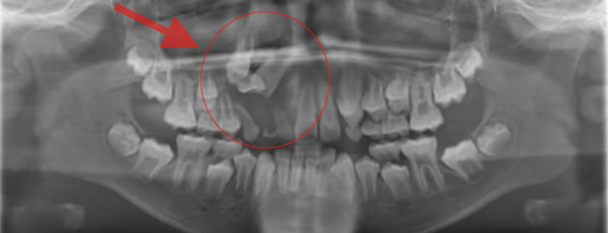
Caso 2
Esta paciente acudió a consulta porque uno de sus dientes frontales de leche no se había caído. Una radiografía panorámica mostró que su diente frontal permanente estaba impactado y atrapado en una posición alta dentro del maxilar, como se observa en la primera fotografía.
Aunque inicialmente se recomendó la extracción, optamos por una alternativa más conservadora. Mediante la colocación de un pequeño dispositivo de ortodoncia, pudimos guiar suavemente el diente hasta su posición correcta. Este enfoque permitió conservar su diente frontal natural y evitó la necesidad de un implante, algo que nunca puede reemplazar por completo una sonrisa natural.
.png)

Caso 3
Este caso incluye una radiografía panorámica y dos cortes de imágenes CBCT (tomografía computarizada de haz cónico), los cuales destacan la importancia de la detección temprana. El canino inferior permanente del paciente no pudo erupcionar debido a la presencia de dientes supernumerarios que obstruían su trayectoria eruptiva. Gracias a la identificación oportuna del problema y a la extracción de los dientes de leche supernumerarios, fue posible liberar el trayecto de erupción y permitir que el diente permanente erupcionara de forma natural, evitando así tratamientos más complejos en etapas posteriores.

